Skip to content
Isle of Man Orthodontics | Orthodontics and facial aesthetics by qualified specialists
Call : 612750
Mon - Thurs : 08.30-17.00
Facebook
Instagram
Home
About
Meet our Team
Dr. Elin Thomas
Jennifer Bell
Christopher Forrest
Carla MaClure
Sarah Edwards
Testimonials
Our Treatments
3M Clarity Clear Fixed Braces
Fixed Appliances
Invisalign Aligners
Early or Phase 1 Treatment
Lingual Appliances
Myobrace
Functional Appliances
Boutique Whitening
Composite Bonding
Hygienist Services
Retainers
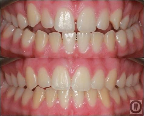
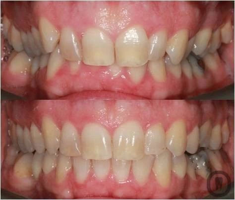
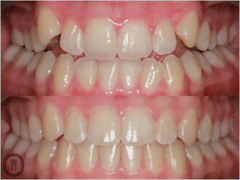
Smile Library
Contact
X
Make Appointment
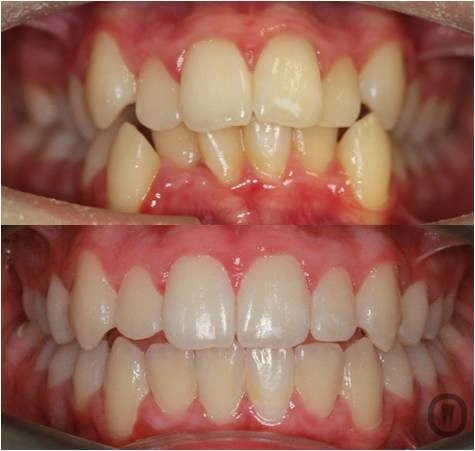
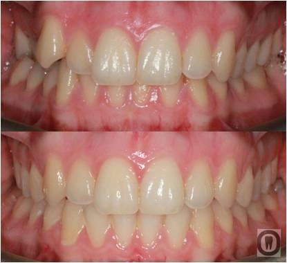
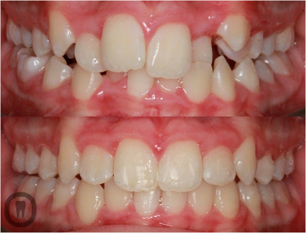
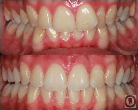
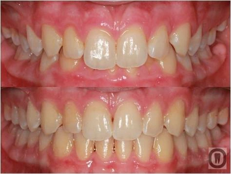
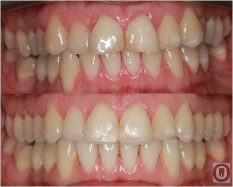
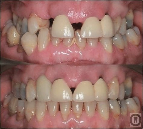
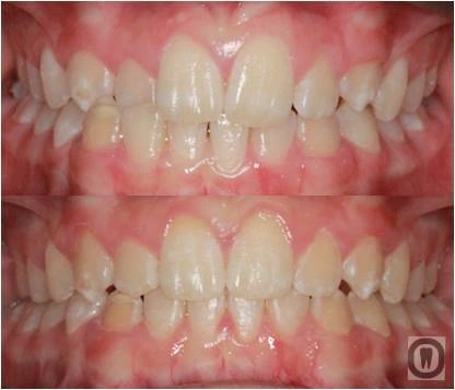
Smile Library
Home
Smile Library